中日友好医院郑金刚团队全国率先完成联合应用SAFARI²预塑形导丝与SENTINEL脑保护装置进行TAVR手术

近日,中日友好医院心内科郑金刚教授带领团队成功为一名钙化三叶瓣、扁平窦、左冠风险的重度AS患者完成了全国率先开展联合应用SAFARI²预塑形导丝与SENTINEL脑保护下的TAVR手术。
病史简介
患者为79岁老年女性,主诉发现主动脉瓣狭窄5年,胸闷、憋气1年余。
动态心电图和CAG未见明显异常。超声心动图示可疑先天性主动脉瓣二瓣化畸形,主动脉瓣平均压差58mmHg,峰值流速4.75m/s,IVS13mm,EF70%,LVEDD47mm。
超声提示:主动脉瓣钙化并狭窄(重度)、反流(轻度);左房正常上限;室间隔增厚;二、三尖瓣反流(少量)。
术前诊断:先天性主动脉瓣二瓣化畸形;主动脉瓣钙化并狭窄;心功能III级(NYHA分级);高血压病3级(极高危);高脂血症;慢性肾功能不全(CKD3a期);右肾动脉狭窄;左髂内动脉瘤;颈内动脉、主动脉、髂动脉粥样硬化;脂肪肝;甲状腺功能减退;腰椎退行性病变。
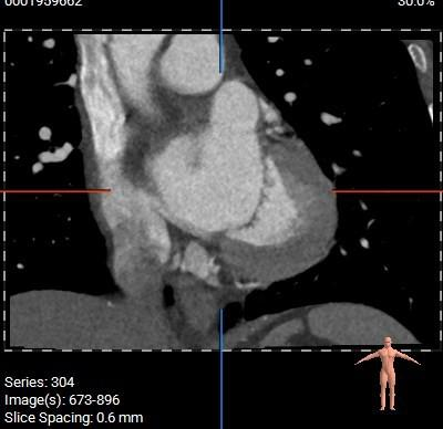
针对该患者存在主动脉瓣狭窄并伴有严重钙化的情况,团队对手术的安全性和稳定性格外重视。为了确保患者的安全,团队利用先进的影像技术进行了更精确的检查,对手术流程以及术中可能出现的风险进行了全面的评估。
CT分析
主动脉根部:

主动脉根部径线:

Annulus23.7mm

LVOT23.6mm

L28.4*R27.4*N28.8

SOVP89.9mm

STJ26.6mm

AA31.9mm

LV39.8mm

LV40.6mm
多平面分析:

LVOT23.6mm

Sub-223.8mm

Annulus23.7mm

Super-223.7mm

Super-425.2mm

Super-624.3mm

Super-825.4mm

Super-1025.4mm
双侧冠脉开口高度可,左侧瓣叶略长,预估左侧冠脉遮挡风险较低:




中度高位钙化,钙化分布较均匀,瓣膜锚定力可,形态影响较小:



投照角度:

右窦中心
右11足16

左冠切线
左8头13

左右重合
右33足41
左心耳及心室未见血栓,瓣环水平夹角57°,近横位心:


膜部室间隔2.2mm,主瓣二尖瓣夹角可:


主动脉弓角及弓距可,预估输送器可顺利过弓,必要时Snare辅助:


入路血管走形良好,双侧髂股动脉内径可,入路血管散在附壁钙化,整体入路条件良好:

手术策略
三叶式主动脉瓣,瓣叶中度钙化并增厚,流出道桶状,预估瓣膜锚定力尚可,钙化位点较高,释放过程存在一定下滑风险;瓣膜形态影响较小,钙化交界瓣膜因贴壁问题存在残余瓣周漏可能,必要时后扩处理。
双侧冠脉高度开口可,窦部较为扁平,左冠瓣叶较长,预估左冠存在一定遮挡风险,球扩及工作位密切关注冠脉血流灌注,必要时冠脉保护。
入路血管走形及内径良好,散在附壁钙化,器械通过时注意影像追踪,轻柔操作;可用20F大鞘内芯预扩后再置入大鞘。
右股主入路,20mm球囊预扩,植入TaurusEliteAV23瓣膜,备AV26,初始定位0位,瓣膜释放到工作位后多体位充分评估瓣膜位置及形态情况,结合超声结果,确认无误再行释放。
在临床实践中,传统导丝操作存在一些严重的风险,包括可能引发心肌损伤和心室穿孔等问题。同时,手术操作过程中产生的碎片也可能导致脑血管栓塞。针对这些风险挑战,团队决定采用SENTINEL抗栓塞脑保护装置来避免脑卒中的发生,并引入SAFARI²导丝技术以减少心脏手术中的风险。
预塑形导丝,让TAVR手术更安全
在TAVR手术中,导丝不仅起到引导瓣膜进入血管的作用,还是手术操作的重要支撑。然而,导丝也可能引起一些例如左心室穿孔的严重并发症,院内死亡率高。因此,选择合适的导丝对于避免穿孔至关重要。
SAFARI²预塑形导丝具有优秀的弯曲可控性,能够更好地适应复杂的血管解剖结构,在TAVR手术中起到了引导并塑形输送系统的关键作用,确保了瓣膜释放的位置和角度的准确性。SAFARI²导丝的精确导向和塑形能力为手术的顺利进行提供了重要的保障。
脑保护装置可减少大面积卒中发生
脑卒中是TAVR术后一个不容忽视的并发症。脑卒中的发生概率与多种因素有关,包括术后不良预后、血管疾病、术中发生的栓塞等。有研究表明,术中发生脑卒中的风险相对较高,尽管患者可能并未表现出相关症状,为了确保手术的安全,郑金刚教授团队仍决定采取脑保护措施。
SENTINEL抗栓塞脑保护装置操作简便、设计精巧,且多项临床数据显示,SENTINEL可降低TAVR术后60%~80%的相对卒中风险。更为重要的是,SENTINEL还可以降低主动脉瓣狭窄患者60%的致残性卒中风险。这一数据充分体现了脑保护在TAVR术中的重要性。
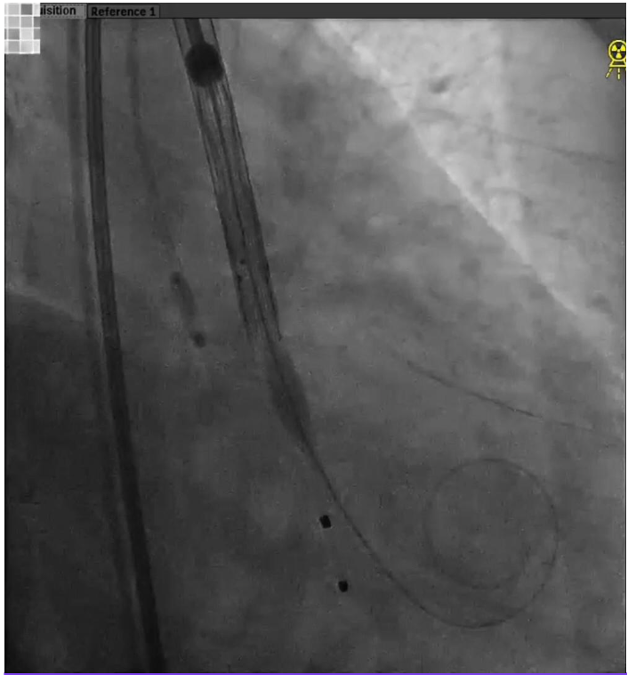
手术过程
主动脉弓造影,观察头臂干、颈总动脉和左锁骨下动脉形态;

脑保护输送系统置入;


导丝跨瓣;

猪尾导管交换预塑形导丝;

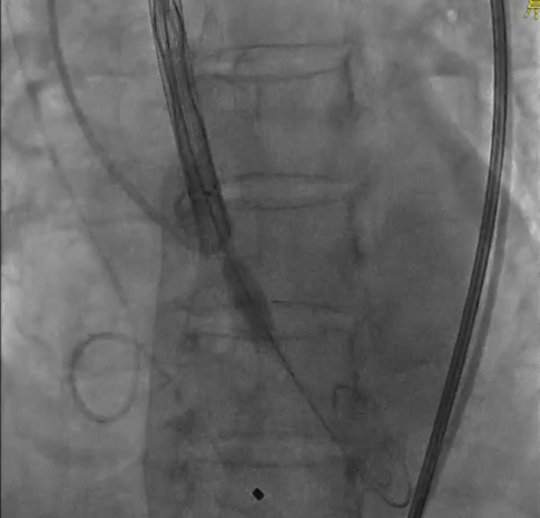
TaurusEliteAV23第一次释放,预释放;

初始定位;

近左右重合位,瓣下1mm释放,释放过程中瓣膜下滑瓣膜展开至工作位;

左冠切线位评估,瓣架底边对齐,左冠显影良好,大弯侧深度约8mm,同轴性较差,瓣膜几无压缩,决定回收;

TaurusEliteAV23第二次定位、释放;


零位释放,瓣膜位置过高,回收并进行第三次释放。第三次释放后,多体位根部造影评估,瓣架底边对齐,左冠显影良好,瓣膜明显位移,同轴性较差,瓣膜压缩,决定第三次回收;


第四次定位和释放,右窦中心位,瓣上2mm释放;

根部造影评估,瓣架底边对齐,左冠显影良好,同轴性一般,瓣膜压缩,锚定良好,瓣下深度4-5mm;

瓣膜脱钩,完成释放,最终造影显示瓣膜形态佳,未见明显反流;

回撤脑保护装置,完成手术。


术后总结
该患者为一名老年女性,合并症多,且为二叶瓣,为脑血管事件的中高危群体。为了降低脑卒中发生的风险,团队采用了SENTINEL脑保护装置,为TAVR保驾护航。且患者的心室偏小,近横位心,SAFARI²导丝可实现超小弯曲,额外支撑设计增加了近端导丝的支撑力,能为患者带来额外获益。
双重守护,安全TAVR!
对于团队来说,这次尝试将两种技术结合使用,是一次前所未有的重要尝试。当谈及使用体验时,郑金刚教授表示,SAFARI²导丝的操作相对简单且安全,让手术过程更加顺利。而SENTINEL脑保护装置的释放操作也同样简单易行,术后效果显著,让使用者能够轻松掌握操作方法,为手术带来更多保障。
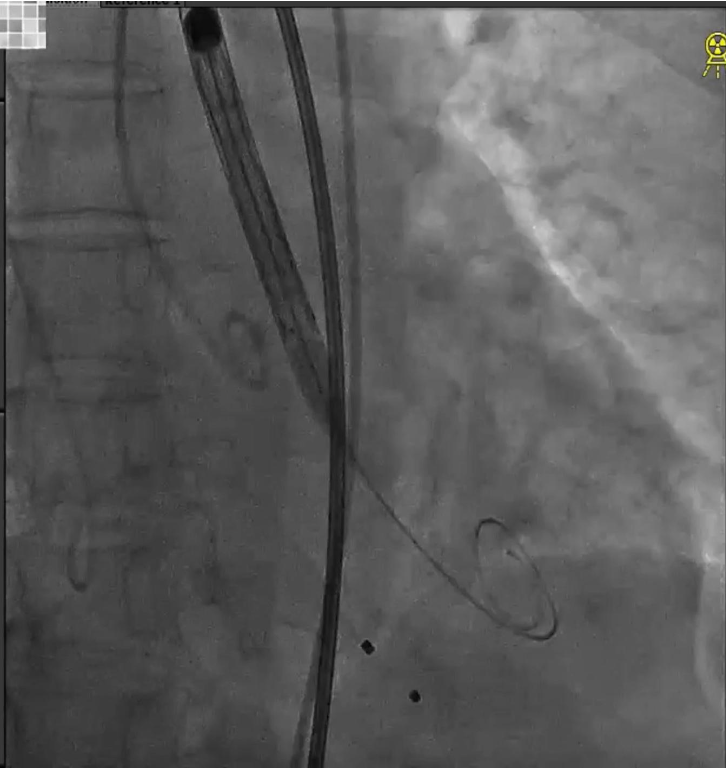
特别值得一提的是,团队在两个脑保护装置中都发现了栓子的掉落。这一发现表明SENTINEL可以成功地捕捉到手术操作过程中产生的碎片,从而有效地避免了脑卒中的发生。
【可见脑保护装置捕获碎片】

郑金刚教授还提到了在手术中应用脑保护装置时需要注意的一些关键因素。首先,术前需要对患者的颈动脉直径进行准确的评估,因为颈动脉的粗细直接影响到保护和封闭的效果。如果颈动脉过于粗大,可能会影响保护装置的密封性和稳定性,导致保护效果不佳,甚至可能无法使用。
另外,手术中遇到特别迂曲也是一大挑战。这些区域通常操作起来更为困难。在这种情况下,术者需要特别注意操作的精确性和稳定性,以避免造成不必要的损伤。
医工合作赋能
持续传递创新技术
随着科技的不断发展,现代医疗逐渐向精细化、个性化方向发展。以心脏科为例,房缺修补、室缺修补、卵圆孔未闭封堵等创新的技术得到了广泛应用,例如左心耳封堵术、心梗室间隔穿孔修补术以及最新的TAVR等技术也在积极开展。
在未来,郑金刚教授团队将积极推广二尖瓣、三尖瓣介入治疗等前沿技术,为患者提供更加高效、安全的治疗方案。这些新技术的推广也离不开中日友好医院医学工程处的支持与建议。多年来,医学工程处始终积极跟踪最新的技术动态,引进新的技术和材料,在推动医学发展的同时,也给患者带来了实实在在的利益。
在医学工程处的建设性建议下,团队成功引入了SAFARI²预塑形导丝与SENTINEL脑保护装置这两种创新器械。这些器械在临床上的应用,极大地提高了手术的精确性和安全性,进一步提升了患者的治疗效果。通过郑金刚教授团队与医学工程处之间的紧密合作,患者们得以重拾健康生活。
最后,在谈论到团队未来的规划时,郑金刚教授对青年医生寄予了厚望并给予了宝贵的建议。他强调,青年医生在涉足介入疗法这一新兴领域后,经过一段时间的熟悉,应该积极参加专业培训,以提高技能和能力。特别是在进行介入治疗的过程中,术中的操作技巧和术前的病例分析能力同样至关重要。
-
网站地图 | 隐私权保护声明 | 技术支持 | 关于我们 | 乘车路线 | 联系我们
本部:朝阳区樱花园东街2号(100029) 电话:84205566 西区:朝阳区双泉堡甲2号(100192)电话:53236424
北区:朝阳区文学馆路47号(100029)电话:84153885 国际部:朝阳区樱花园东街2号(本部东侧)(100029) 电话:84205121
-
中日友好医院 © 版权所有 特别声明:本站内容仅供参考,不作为诊断及医疗依据
京ICP备18042996号 京卫网审字﹝2008﹞第25号 京公网安备110402450042号
2020 china-japan friendship hospital all rights reserved


請先 登入 以發表留言。